English
冷热交替,心脏骤停危险近在眼前!
发布时间:2025-02-20    点击量:365

近日,一男子游泳后突发心脏骤停事件引发社会广泛关注。

据悉,五十多岁的陈先生在室内游泳馆锻炼时,因从常温泳池突然跃入冷水池中,上岸后瞬间晕倒,随后被紧急送往医院。

经医生诊断,陈先生是由于急性心肌梗死引起的心脏骤停。游泳作为一种全身性有氧运动,对心肺功能有着良好的锻炼效果,怎么会导致心脏骤停呢?下面,吉心医生为您详细解答。

忽冷忽热为什么会引发心脏骤停

当我们从常温环境突然进入冷水中,身体会经历一种急剧的温度变化,这种低温和高温之间的温度差可能对人体健康产生致命危险。

无独有偶,危险近在眼前

一周前,家住农安的游泳爱好者李先生因阵发性胸痛加重两天紧急入院。急诊医生结合其病情及心电图、心脏彩超和肌钙蛋白等检查结果,迅速诊断为急性前壁心肌梗死。

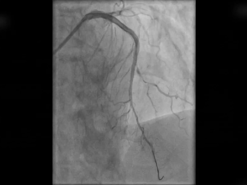
术前检查结果

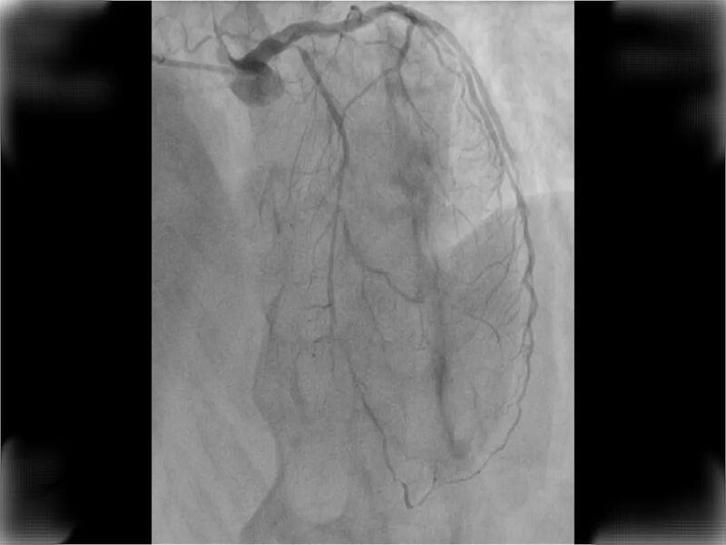
鉴于李先生仍有明显的闷胀性胸痛症状,吉心心内科团队立即启动急诊通道,将其直接送入导管室进行紧急手术。术中发现,患者左前降支血管狭窄程度高达99%,薛国宏医生迅速开通闭塞血管,并成功植入两枚支架。

术后患者病情逐渐稳定,心肌坏死症状得到明显改善。据李先生回忆,春季气温回暖让他放松了警惕,此前已经出现胸闷症状却并未引起足够重视。这次能够及时就医并得到有效的干预,实属幸运。

术后患者状态良好出院

乍暖还寒应“春捂”

注意平稳血压

避免忽冷忽热的运动方式

若出现胸闷、胸痛症状

应及时就医

吉林心脏病医院呵护您的心脏健康

参考文献:

[1]薛松维.67讲气温变化影响心脏血管[J].中国乡村医药,2021,28(17):28-30.DOI:10.19542/j.cnki.1006-5180.005488.

*声明:

本文仅为心脏健康科普,涉及疾病诊断、治疗、康复等相关环节,请及时就医,寻求专业性意见。本文部分图片素材来源于网络,如有侵权请联系删除。

24(07)

返回
相关推荐
  • 每天小酌一杯可以护心吗?吉...
  • 《长安的荔枝》没告诉你的秘...
  • 中国房颤日|这些症状可能是房...
  • 眼睛里的“心”事——这些眼...
  • 高空腹血糖诱发心血管疾病,...
  • 春耕农忙模式已开启,这些心...
  • 春分|昼夜均分万物生,春光护...
  • 冷热交替,心脏骤停危险近在...
  • 爱在吉心,健康心跳是最长情...
  • 99%以上是甲流,如何安“心...