English
心内科
服药不规律引发急性心梗案例 服药不规律引发急性心梗,吉心心内科团队高能救治危重患者。
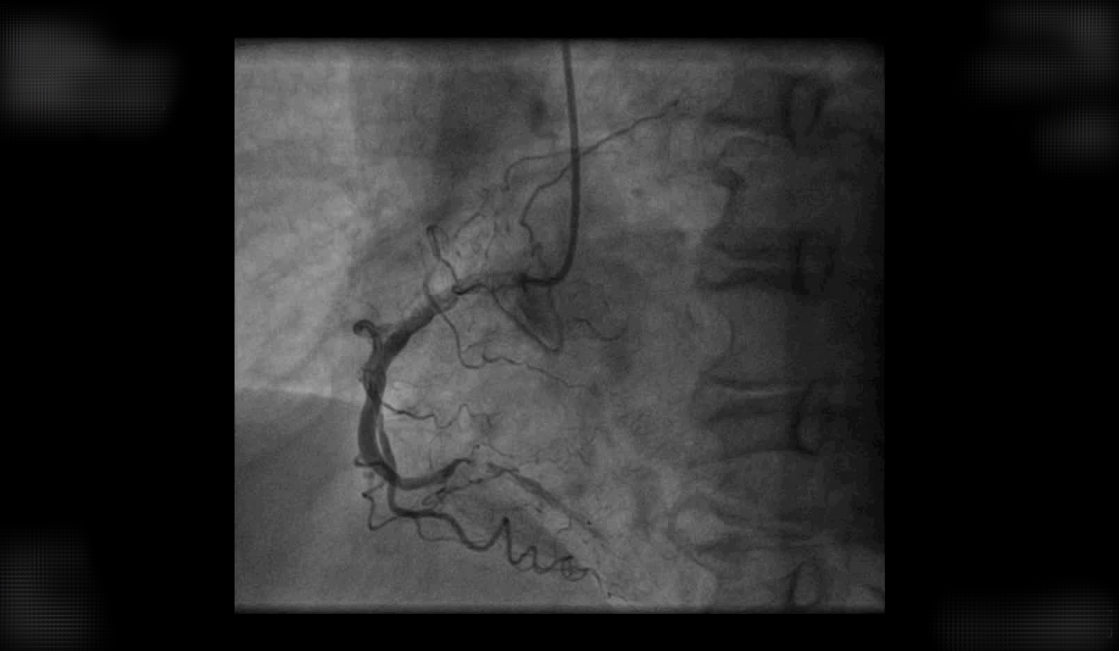
两支血管完全闭塞 对于心梗患者来说,时间就是生命,时间就是希望。
前降支冠状动脉中段100%闭塞 吉心团队选用逆向开通技术,成功为患者开通了闭塞多年的LAD并植入支架。
三支血管重度病变案例 患者三支血管均存在重度病变,吉心半年内两度“挑战”病变血管,助她扭转生命战局。
双侧肾动脉狭窄 吉心心内科团队为双侧肾动脉99%狭窄患者实施双侧肾动脉支架。
重症冠心病合并心衰患者康复案例 患者胸痛气短长达10年,严重影响正常生活。我院心内科团队争分夺秒,成功为老年冠心病患者实施心脏支架植入手术。
双腔起搏器植入术 89岁完全性房室传导阻滞患者,有发作性头晕、乏力、气短症状,为求行永久性心脏起搏器治疗入院。
左主干冠脉支架植入手术 常年胸痛折磨,吉心植入三枚支架为她撑开生命通道。
心房扑动康复案例 吉心实施射频消融术,成功解决81岁老人心脏乱跳难题
急性心肌梗死患者病例 选对治疗方式后,他的“难题”65分钟得到解决
心外科
重症瓣膜病引发心衰案例 近日,吉林心脏病医院接诊一例重症心脏瓣膜病患者,吉心专家团队通力合作制定治疗方案,为患者重建“心门”。
小切口主动脉瓣置换术 心外科为一名60岁男性患者实施小切口主动脉瓣置换术
3岁男童右室双腔心合并室间隔缺损案例 先天性心脏病是胚胎期遗传因素和环境因素共同作用、相互影响,导致心血管发育异常的一种常见出生缺陷。
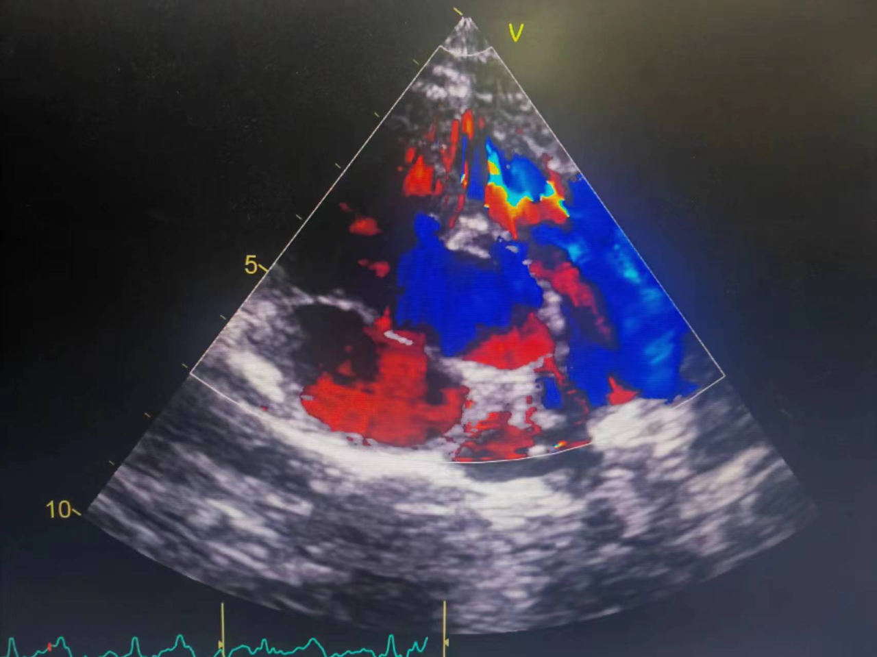
二尖瓣置换术、三尖瓣成形术、左心耳缝合术 吉林心脏病医院心外科为风湿性心脏瓣膜病患者纠正心功能,并实施对症手术。
心脏传出“异响”案例 综合检查结果,患者被诊断为风湿性心脏瓣膜病,二尖瓣关闭重度不全、三尖瓣重度关闭不全、心律失常-心房颤动、心功能Ⅲ级。
心衰急性加重 心衰突然加重,门诊转入ICU,他在吉心获得“第二次生命”
多支冠脉血管重度病变 多支冠脉血管重度病变,吉心多学科联合挽救危重患者。
肥厚型梗阻性心肌病案例 吉林心脏病医院心外科团队为一名47岁肥厚型梗阻性心肌病患者成功施行左室流出道疏通术。患者术后恢复良好,已康复出院。
缩窄性心包炎康复病例 完美配合,吉心为脑梗患者解决心脏大问题!
主动脉瓣修复术(OZAKI)康复案例 近期,吉林心脏病医院在疫情期间为一名心脏瓣膜病患者成功进行了直视下二尖瓣修复术,主动脉瓣修复术(OZAKI)。